Estética conservadora: como melhorar o sorriso sem desgastar os dentes
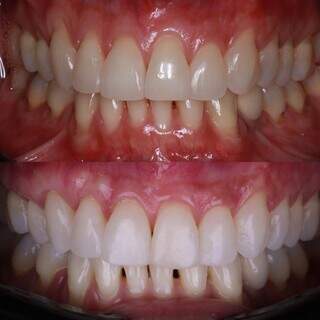
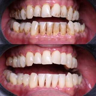
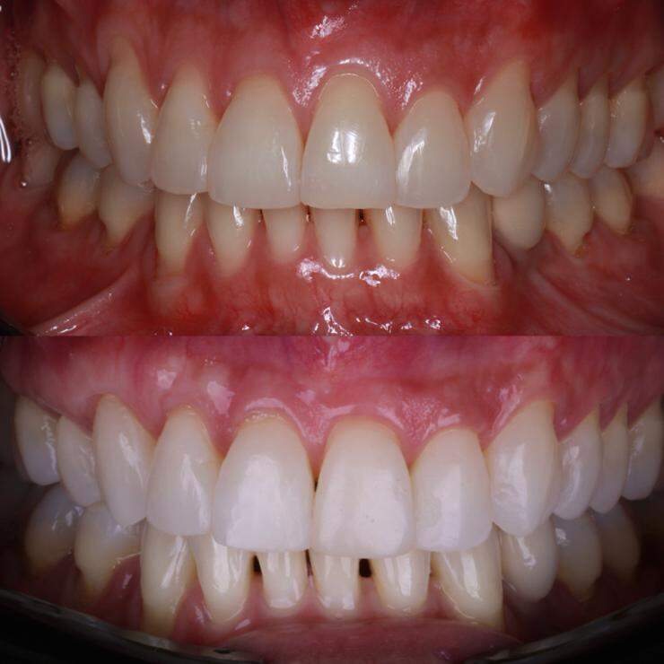
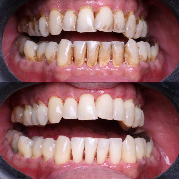
Em vez de facetas ou lentes de contato, há quem prefira caminhos mais sutis, e igualmente eficazes, para melhorar o sorriso. Essa é a proposta da chamada estética conservadora, uma abordagem que valoriza resultados naturais sem desgastar os dentes. O cirurgião-dentista Dr. Diogo Coelho (CRO/MS 5501) da Clínica Refinare explica que, em muitos casos, procedimentos simples como clareamento, limpeza profissional ou troca de restaurações antigas já são suficientes para devolver harmonia e confiança ao sorriso, sem precisar recorrer a intervenções mais complexas.
RESUMO
Nossa ferramenta de IA resume a notícia para você!
A estética conservadora surge como alternativa menos invasiva para melhorar o sorriso, preservando a estrutura natural dos dentes. Segundo o cirurgião-dentista Dr. Diogo Coelho, da Clínica Refinare, procedimentos como clareamento, limpeza profissional e troca de restaurações antigas podem ser suficientes para alcançar resultados satisfatórios. O método prioriza intervenções mínimas, incluindo microesculturas com resina composta e ajustes de forma, sem necessidade de desgaste dental. A abordagem utiliza tecnologia avançada e protocolos personalizados, visando preservar cada camada do dente, que possui função biológica específica e não se regenera após desgastada.
Nem sempre é necessário fazer uma lente ou faceta para alcançar um bom resultado estético. Muitas vezes, apenas cuidar e renovar o que já existe é o bastante para transformar o sorriso”, destaca o Dr. Diogo.
O que é estética conservadora
Diferente dos procedimentos que envolvem desgastes da camada natural do dente, a estética conservadora trabalha com mínima intervenção e máxima preservação. O foco está em valorizar o que o paciente já tem, corrigindo pequenas imperfeições e revitalizando o esmalte dental.
As principais abordagens incluem:
Clareamento dental — realizado com agentes específicos que removem pigmentos acumulados ao longo dos anos. “O clareamento é uma das formas mais seguras de devolver vitalidade ao sorriso sem tocar na estrutura do dente”, afirma o especialista.
Limpeza profissional e profilaxia detalhada — removem manchas externas, tártaro e biofilme, que muitas vezes ofuscam o brilho natural dos dentes.
Troca de restaurações antigas — substituindo resinas escurecidas ou desadaptadas por materiais modernos, com cor e translucidez próximas às do dente natural.
Microesculturas e ajustes de forma — pequenas remodelações feitas com resina composta, sem necessidade de desgaste, para alinhar o sorriso e melhorar o contorno dos dentes.
Nos consultórios, o que antes era visto como um “tratamento corretivo” hoje é sinônimo de sofisticação discreta. A naturalidade volta a ser o principal indicador de beleza.
“As facetas e lentes de contato são ótimas ferramentas, mas devem ser usadas nos casos certos”, explica o Dr. Diogo. “Quando conseguimos devolver a estética apenas com restaurações, limpeza ou clareamento, evitamos o desgaste do esmalte, que é uma estrutura que nunca se regenera.”
Ele destaca que a preservação da estrutura dental é o ponto-chave. “Cada camada do dente tem uma função biológica. Quanto menos interferimos, mais saudável e duradouro será o resultado.”
Na clínica Refinare Odontologia, onde atua ao lado da Dra. Andressa Cavalero Coelho, o conceito de estética conservadora se apoia em tecnologia de ponta e protocolos personalizados. Equipamentos de imagem digital e softwares de escaneamento permitem planejar cada detalhe antes de qualquer intervenção.
A estética moderna não é só sobre aparência. É sobre devolver função, equilíbrio e confiança. E isso pode ser feito com delicadeza, respeitando a natureza de cada sorriso”, completa o Dr. Diogo.
O sorriso ideal, segundo o Dr. Diogo, não é aquele que parece saído de um molde, mas o que combina com o rosto, a personalidade e a história de cada pessoa.
Não deixe seu sorriso para depois!
Procure o Dr. Diogo Coelho para tirar suas dúvidas. Na Refinare, sua saúde é sempre aliada ao conforto. Deixe o medo para trás e entre em contato através do WhatsApp clicando aqui para agendar seu atendimento.
A Clínica Refinare Odontologia fica localizada na Rua Bahia, número 12, Centro (Veja como chegar).
Mais informações também podem ser conferidas através do site www.refinareodontologia.com.br e no Instagram @refinareodontologia e também no @prof_diogocoelho.




